Estética Dental en Moncloa: El Arte de la Sonrisa Perfecta

En Clínica Lastra en la zona Chamberí, sabemos que una sonrisa no solo es un reflejo de tu salud, sino también una fuente de confianza y bienestar. Por ello, la Estética Dental es la especialidad de nuestros dentistas expertos. Estamos dedicados a perfeccionar la armonía y la belleza de tu sonrisa, corrigiendo imperfecciones para que luzca tan saludable como se siente, ofreciendo los mejores resultados a los pacientes de Ríos Rosas y sus alrededores.

Ventajas de Optar por la Estética Dental

Elegir un tratamiento de estética dental es una inversión en ti mismo, con beneficios que van más allá de lo visual:

  • Resultados Naturales: Nuestros tratamientos se diseñan para complementar tus rasgos faciales y lograr un aspecto que se sienta natural y auténtico.

  • Mayor Confianza: Una sonrisa que te encanta aumenta tu autoestima y la forma en que interactúas con los demás.

  • Soluciones Rápidas y Duraderas: Muchos de nuestros tratamientos ofrecen resultados inmediatos, con materiales y técnicas que aseguran una larga vida para tu nueva sonrisa.

Estética Dental en Madrid con Clínica Lastra

En Clínica Lastra, tu dentista especialista en Estética Dental en el barrio de Argüelles (Moncloa), nuestro equipo combina experiencia, pasión por el detalle y tecnología de vanguardia para garantizar resultados excepcionales. Te acompañaremos en cada paso del proceso, desde el diagnóstico inicial hasta el resultado final, asegurando que tu experiencia sea cómoda, segura y gratificante en nuestra clínica, estratégicamente ubicada cerca de Princesa.

¿Cómo Diseñamos tu Sonrisa?

En Clínica Lastra, un plan de tratamiento estético va más allá de un solo procedimiento. Comenzamos con un diagnóstico exhaustivo de tu salud bucodental y evaluamos tus expectativas. Nuestro enfoque es holístico: consideramos la forma de tu rostro, el color de tu piel y el estilo de tu sonrisa para crear un resultado que se integre perfectamente contigo. El diseño de sonrisa es un proceso colaborativo, donde tú eres el protagonista.

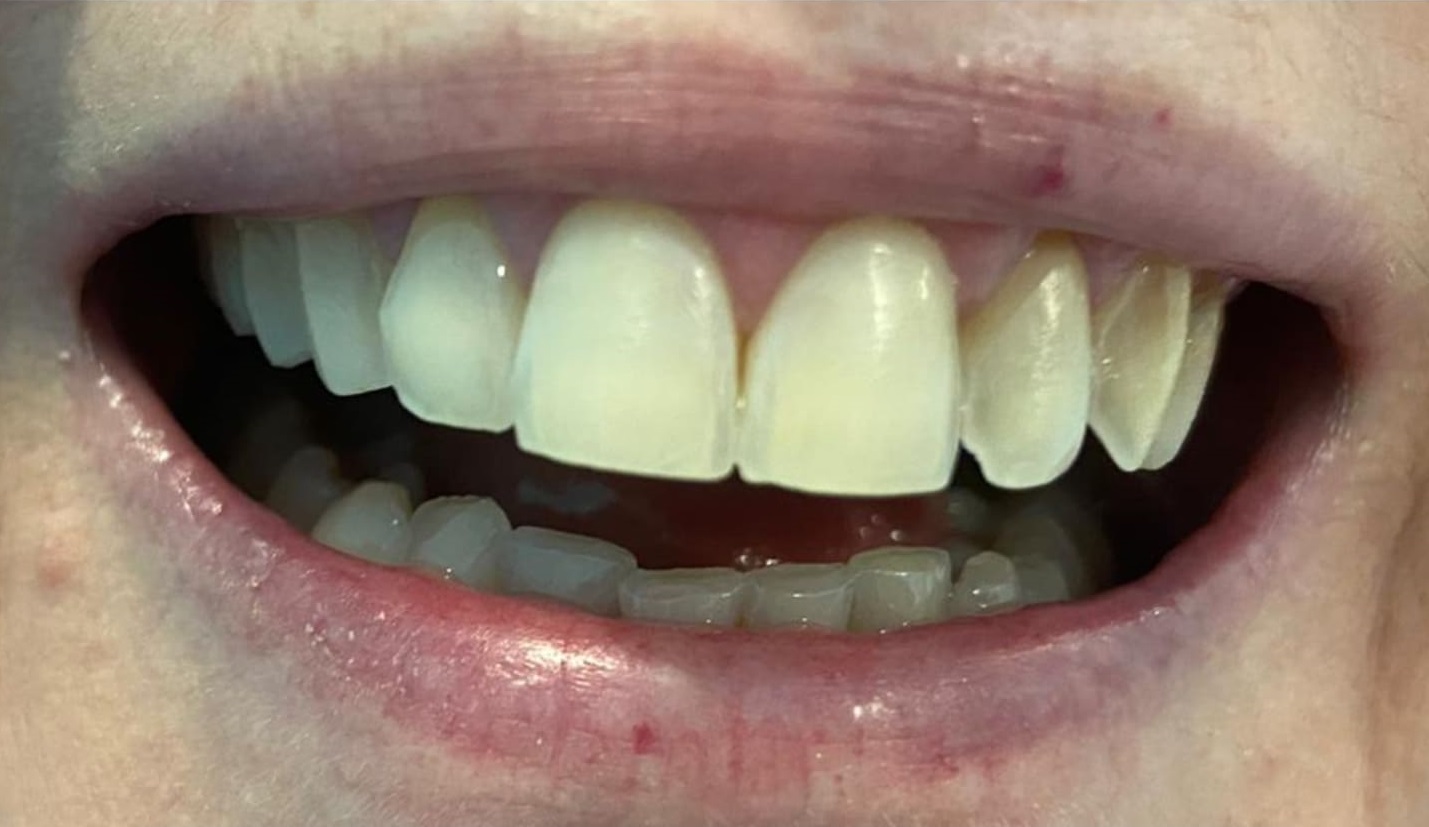
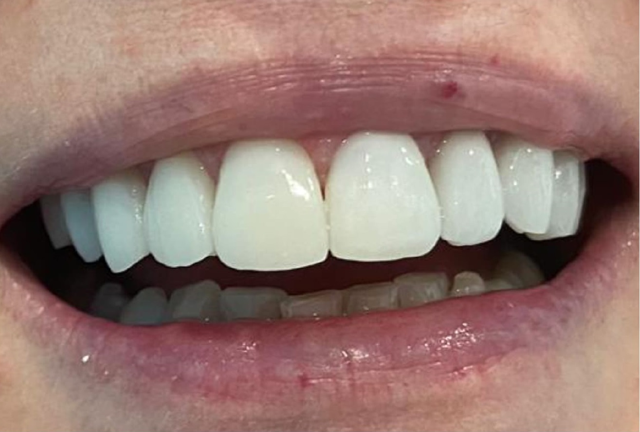
Caso de éxito en clínica Lastra

ANTES

DESPUÉS

Mitos Comunes sobre la Estética Dental

  • Mito: Los tratamientos de estética dañan los dientes.

  • Realidad: Procedimientos como el blanqueamiento o la colocación de carillas son seguros y mínimamente invasivos. Con un cuidado adecuado y realizados por profesionales, no comprometen la salud de tu esmalte.

  • Mito: Las carillas se ven artificiales.

  • Realidad: Gracias a los materiales de última generación, como la porcelana, las carillas reflejan la luz de manera similar al esmalte natural, logrando un aspecto natural y translúcido que es indetectable.

  • Mito: La estética dental es solo para famosos.

  • Realidad: Hoy en día, estos tratamientos son accesibles para cualquier persona que desee mejorar su sonrisa, sin importar su edad o la complejidad de su caso.

Contacta con Nosotros

En Clínica Lastra en la zona Chamberí, nuestro equipo de dentistas especialistas en Estética Dental combina experiencia, pasión por el detalle y tecnología de vanguardia para garantizar resultados excepcionales. Te acompañaremos en cada paso del proceso, desde el diagnóstico inicial hasta el resultado final, asegurando que tu experiencia sea cómoda, segura y gratificante en nuestra clínica, convenientemente ubicada cerca del Paseo de San Francisco de Sales.

Reserva tu cita

Reserva tu cita